2月7日,形态发生与进化实验室董波教授团队在国际知名学术期刊Nature Communications(《自然·通讯》)上发表了题为“Identification of protein precursor for thyroid hormone synthesis in basal chordate ascidian Styela clava”(甲状腺激素合成前体蛋白在脊索动物柄海鞘中的鉴定)的研究论文。该研究首次在无脊椎动物中鉴定并功能验证了甲状腺激素合成所必需的前体蛋白—类甲状腺球蛋白(TG-like),为揭示甲状腺内分泌系统的起源与演化提供了重要科学依据。
甲状腺激素在动物的生长发育、代谢调控以及生命周期转换过程中发挥着核心调控作用[1, 2]。在脊椎动物中,TH的合成机制已被系统阐明,其中甲状腺球蛋白(Thyroglobulin,TG)作为激素合成的前体蛋白,为甲状腺激素的生成提供关键的酪氨酸残基,是该过程的核心分子[3]。然而,尽管在多种无脊椎动物中已检测到甲状腺激素,并证实其在发育和变态过程中的重要功能[4],但是参与甲状腺激素合成的关键前体蛋白始终未被鉴定,这一缺失长期制约了对甲状腺激素合成分子基础及甲状腺内分泌系统演化起源的认识。
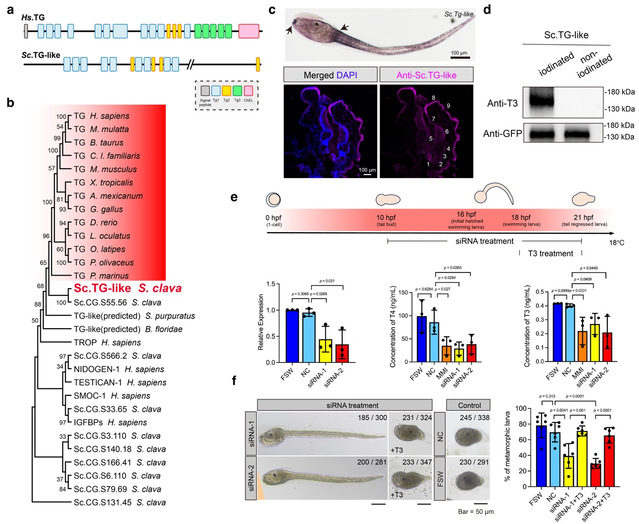
本研究以脊索动物——柄海鞘(Styela clava)为研究对象,综合运用免疫荧光、免疫共沉淀—质谱鉴定、系统发育进化分析、表达特征分析和体外碘化功能验证等研究手段,成功鉴定到柄海鞘体内甲状腺激素合成的前体蛋白,将其命名为类甲状腺球蛋白(TG-like)。本研究发现,TG-like蛋白包含多个Tg1结构域(脊椎动物TG蛋白中包含11个Tg1结构域,图1 a),与其他含Tg1结构域的蛋白相比,TG-like与脊椎动物TG蛋白具有更近的亲缘关系(图1 b)。表达特征分析表明,Tg-like基因在柄海鞘早期发育过程中的时空表达特征与参与甲状腺激素合成的关键基因高度一致,并在内柱(柄海鞘成体甲状腺激素合成的结构)的甲状腺同源区呈现特异性表达(图1 c)。体外碘化实验进一步证实,TG-like蛋白具备为甲状腺激素合成提供激素生成位点的能力(图1 d)。
研究团队建立了柄海鞘体内RNAi敲降实验体系,发现敲降Tg-like基因后,柄海鞘幼虫体内的甲状腺激素(T3和T4)水平显著降低(图1 e),幼虫在变态发育过程中尾部收缩、器官形成及体态延伸等关键发育事件均明显受阻(图1 f)。值得注意的是,外源性补充甲状腺激素能够有效营救Tg-like基因敲降所导致的发育缺陷和异常表型(图1 f)。上述结果表明,Tg-like基因通过参与甲状腺激素的合成,对柄海鞘的变态发育过程发挥关键调控作用。

图1. 柄海鞘Tg-like基因的鉴定和功能验证。(a)人类TG蛋白和柄海鞘TG-like蛋白的结构域示意图。(b)柄海鞘TG-like蛋白与脊椎动物TG蛋白亲缘关系较近。(c)Tg-like基因在柄海鞘幼虫和成体内柱中的表达模式。(d)碘化实验证明TG-like蛋白为甲状腺激素合成提供激素生成位点。(e)敲降Tg-like基因后,柄海鞘体内甲状腺激素(T3和T4)水平下降。(f)敲降Tg-like基因后,柄海鞘幼虫尾部收缩受阻,外源性添加T3能够营救该表型。
此外,研究团队在海鞘幼虫躯干前端中部鉴定到一个内陷的“类滤泡状结构”(图2 a),该结构由3-5个细胞构成,内部高度富集甲状腺激素及TG-like等参与TH合成的关键蛋白(图2 b),其组织形态和分子组成与脊椎动物甲状腺滤泡高度相似。敲降Tg-like基因后,该类滤泡状结构中甲状腺激素信号消失,其结构完整性亦受到严重破坏。上述结果表明,该类滤泡状结构是海鞘幼虫中甲状腺激素合成与储存的主要场所,代表了一种原始的“甲状腺滤泡”形态。

图2. 柄海鞘幼虫的类滤泡状结构。(a)类滤泡状结构的模式图。(b)甲状腺激素合成的基因表达于类滤泡状结构中。
在分子演化层面,研究人员基于柄海鞘TG-like蛋白的结构特征,而非单纯的一级序列相似性,在两侧对称动物的主要类群中均预测到具有相似结构特征的TG-like蛋白,支持甲状腺激素内源性合成机制在两侧对称动物中可能具有古老且保守的演化起源。
董波教授团队长期以海鞘为研究对象,专注于变态发育调控机制的研究。2020年,研究团队在Molecular Ecology Resources 期刊上首次发布了高入侵性海鞘柄海鞘(Styela clava)的多组学数据,揭示了甲状腺激素信号通路对其变态发育的关键调控作用[5];2024年,团队在Science Advances期刊上首次发表了柄海鞘内柱的空间单细胞转录组数据,发现了内柱结构中甲状腺同源细胞的存在及其分化轨迹[6]。在此基础上,团队在本研究中首次在无脊椎动物中系统鉴定并功能验证了甲状腺激素合成的前体蛋白,填补了无脊椎动物甲状腺激素生物合成机制研究领域的关键空白,对理解甲状腺内分泌系统的起源、演化及其功能形成具有重要理论意义。
董波教授为论文的通讯作者,博士后张金和杨立昆副教授为论文的共同第一作者,硕士研究生马昀、隗建凯教授、于海燕副教授,以及来自慕尼黑亥姆霍兹中心的Brice Beinsteiner博士和冲绳科学技术大学院大学的Vincent Laudet教授亦对本研究有重要贡献。本研究工作得到崂山实验室科技创新项目和山东省泰山学者计划的支持。
文章链接:https://www.nature.com/articles/s41467-026-69290-7
相关参考文献:
[1]Rohit A. Sinha, Paul M. Yen. Metabolic Messengers: Thyroid Hormones [J]. Nat Metab, 2024, 6(4): 639-50.
[2]Rashmi Mullur, Yan-Yun Liu, Gregory A. Brent. Thyroid hormone regulation of metabolism [J]. Physiol Rev, 2014, 94(2): 355-82.
[3]Cintia E. Citterio, Héctor M. Targovnik, Peter Arvan. The role of thyroglobulin in thyroid hormonogenesis [J]. Nat Rev Endocrinol, 2019, 15(6): 323-38.
[4]Mathilde Paris, Hector Escriva, Michael Schubert, et al. Amphioxus postembryonic development reveals the homology of chordate metamorphosis [J]. Curr Biol, 2008, 18(11): 825-30.
[5]Jiankai Wei, Jin Zhang, Qiongxuan Lu, et al. Genomic basis of environmental adaptation in the leathery sea squirt (Styela clava) [J]. Mol Ecol Resour, 2020, 20: 1414-31.
[6]An Jiang, Kai Han, Jiankai Wei, et al. Spatially resolved single-cell atlas of ascidian endostyle provides insight into the origin of vertebrate pharyngeal organs [J]. Sci Adv, 2024, 10(13): 1-16.

